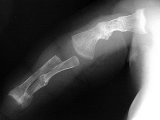
What is your diagnosis?
a) Metaphyseal dysplasia.
b) Osteogenesis Imperfecta Type II
c) Achondrogenesis Type I
d) Thanatophoric dwarfism
e) Osteogenesis Imperfecta Type I
Answer:
b. Osteogenesis Imperfecta Type II
Orthopaedic/ Orthopedic Continuous Medical Education. Free MCQ; Orthopaedic Surgery Educational Material.